What Do Early Stages Of Mouth Cancer Look Like / Oral Cancer Definition Full Risks Symptoms Explained Oralhealthcomplete : Symptoms of lip cancer include:
Dapatkan link
Facebook
X
Pinterest
Email
Aplikasi Lainnya
What Do Early Stages Of Mouth Cancer Look Like / Oral Cancer Definition Full Risks Symptoms Explained Oralhealthcomplete : Symptoms of lip cancer include:. Abnormal cell growth usually appears as flat patches. Stage 0 mouth cancer stage 0 is also called carcinoma in situ, and this is the very beginning of the scale. Tongue cancer develops at the front of the tongue, while cancer at the back of the tongue is known as oropharyngeal cancer. In the early stages, mouth cancer rarely causes any pain. Other symptoms of tongue cancer.
On the tongue's surface, in the lips, inside the cheek, in the gums, in the roof and floor of the mouth, in the tonsils, and the salivary glands. A canker sore looks like an ulcer, usually with a depression in the center. The lump may be white in color and look like an ulcer. What do early stages of oral cancer look like? This picture gallery contains some examples of the more common.
What Does Mouth Cancer Look Like 5 Pictures Of Mouth Cancer from images-prod.healthline.com Stage 0 mouth cancer stage 0 is also called carcinoma in situ, and this is the very beginning of the scale. Mouth cancers usually begin as a flat lesion in any part of the oral cavity a white or red patch in the mouth an ulcer which does not heal on the lips or inside the mouth bleeding from the ulcer a swelling/lump in the oral cavity … There are two systems of stages of mouth cancer, but i want to introduce the number stage for you. Other signs are mouth numbness, pain, bleeding, or weakness, as well as voice changes, ear ringing, and a sore throat that won't. Other symptoms of tongue cancer. The lump may be white in color and look like an ulcer. Pictures of mouth cancer these photos give you an idea of what possible mouth cancers can look like, but remember that they might appear differently to this. Symptoms of lip cancer include:
Gum cancer has a good prognosis when detected at an early stage.
One of the first early warning signs is the development white or red patches of tissue on the tongue. Symptoms of oral cancer can include: A canker sore looks like an ulcer, usually with a depression in the center. On the tongue's surface, in the lips, inside the cheek, in the gums, in the roof and floor of the mouth, in the tonsils, and the salivary glands. Oral cancers typically start with white or red patches in the mouth accompanied by pain. Many symptoms caused by oral tumors may be due to other, less serious conditions or other cancers. Clinical manifestations of lip cancer primarily involve the lips, but can also occur on adjacent areas in the mouth. The chance of survival is very good at this stage. Some of the signs are similar, including bleeding gums. Lip cancer is responsible for about 4,000 cases of oral cancer yearly. The middle of the canker sore may appear white, gray, or yellow, and the edges are red. In the early stage of mouth cancer, it looks exactly like an ulcer. Health scotland and glasgow dental hospital learn more about reducing the risk of oral cancer
Patches may also develop on the gums or other areas of the mouth. You might also notice mouth or tongue pain. Early stages of mouth cancer may look like: What some oral (mouth) cancers look like these photographs are not meant to scare you. Stage 0 mouth cancer stage 0 is also called carcinoma in situ, and this is the very beginning of the scale.
What Does Mouth Cancer Look Like 5 Pictures Of Mouth Cancer from images-prod.healthline.com Some symptoms of mouth cancer are noticeable, that makes it possible to detect mouth cancer in its early stages. Early symptoms of throat cancer include hoarseness of the voice, difficulty in normal voice production during speech, changes in the voice, sore throat, continuous dry cough, perceivable pain while swallowing saliva, liquid and solid food, pain in the ear, difficulty breathing, a small swelling or a lump in the throat or neck region, and unexplained weight loss. Mouth cancers usually begin as a flat lesion in any part of the oral cavity a white or red patch in the mouth an ulcer which does not heal on the lips or inside the mouth This gives your doctor an idea of how the cancer might behave and what treatment you need. It's important to be aware of the symptoms of mouth cancer so you can contact your gp or dentist if you notice anything abnormal. Lip cancer is responsible for about 4,000 cases of oral cancer yearly. In the early stages, mouth cancer rarely causes any pain. The cancer has not spread to the lymph nodes or other places in your body.
However, gum cancer symptoms also include white, red or dark patches on the gums, cracking gums, and thick areas on the gums.
This mutation causes the cells in the mouth to develop in an abnormal way. The most common early symptom of tongue cancer is a sore on your tongue that doesn't heal and that bleeds easily. The lump may be white in color and look like an ulcer. Some symptoms of mouth cancer are noticeable, that makes it possible to detect mouth cancer in its early stages. You might also notice mouth or tongue pain. Skin cancer is by far the most common type of cancer. Pictures of mouth cancer these photos give you an idea of what possible mouth cancers can look like, but remember that they might appear differently to this. The chance of survival is very good at this stage. Oral cancers typically start with white or red patches in the mouth accompanied by pain. Nearly all skin cancers can be treated effectively if they are found early, so knowing what to look for is important. The stage of mouth cancer tells you its size and depth, and whether it has spread. Early symptoms of throat cancer include hoarseness of the voice, difficulty in normal voice production during speech, changes in the voice, sore throat, continuous dry cough, perceivable pain while swallowing saliva, liquid and solid food, pain in the ear, difficulty breathing, a small swelling or a lump in the throat or neck region, and unexplained weight loss. This picture gallery contains some examples of the more common.
The grade tells you how much the cancer cells look like normal cells. Up to 15% of oral cancers are lip cancer in origin. On the tongue's surface, in the lips, inside the cheek, in the gums, in the roof and floor of the mouth, in the tonsils, and the salivary glands. Sore in the mouth that doesn't heal (the most common symptom) white or red patch on the gums, tongue, tonsils, or lining of the mouth Early symptoms of throat cancer include hoarseness of the voice, difficulty in normal voice production during speech, changes in the voice, sore throat, continuous dry cough, perceivable pain while swallowing saliva, liquid and solid food, pain in the ear, difficulty breathing, a small swelling or a lump in the throat or neck region, and unexplained weight loss.
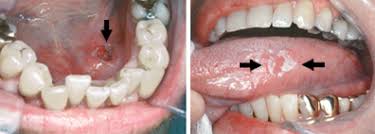
Spotting Mouth Cancer In The Early Stages Mark Tangri Dental Excellence from www.marktangri.com In the early stages, mouth cancer rarely causes any pain. This picture gallery contains some examples of the more common. Early stages of mouth cancer may look like: The right lateral tongue of this patient demonstrated the presence of an indurated, painless ulcer of unknown duration. See your dentist for scheduled oral cancer screenings. However, gum cancer symptoms also include white, red or dark patches on the gums, cracking gums, and thick areas on the gums. However, gum cancer has slow progression, which means that further spread of malignant cells is effectively prevented when treatments are instituted. A canker sore looks like an ulcer, usually with a depression in the center.
Tobacco use, sun exposure, and human papillomavirus (hpv) are just some risk factors for mouth and throat cancer.
Symptoms of oral cancer can include: Just like with any forms of cancer, distant metastasis provides the most unfavorable picture for patients. Tobacco use, sun exposure, and human papillomavirus (hpv) are just some risk factors for mouth and throat cancer. The stage of mouth cancer tells you its size and depth, and whether it has spread. A canker sore looks like an ulcer, usually with a depression in the center. This mutation causes the cells in the mouth to develop in an abnormal way. In the early stages, mouth cancer rarely causes any pain. The grade tells you how much the cancer cells look like normal cells. In the early stage of mouth cancer, it looks exactly like an ulcer. What some oral (mouth) cancers look like these photographs are not meant to scare you. Nearly all skin cancers can be treated effectively if they are found early, so knowing what to look for is important. Early signs of mouth cancer present with the following: However, gum cancer symptoms also include white, red or dark patches on the gums, cracking gums, and thick areas on the gums.
Lees meer marko tikt verstappen op de vingers: 08.11.2021 · op de persconferentie had lewis nog moeite om zijn rug alweer te rechten en antwoordde hij twijfelend op de vragen. Gpfans heeft alle duo's op een rij gezet. 03.11.2021 · bij de vorige persconferentie werd het gebouw van het ministerie tijdelijk afgesloten vanwege een demonstratie. 02.11.2021 · kijk de hele persconferentie hier terug: Circuit Zandvoort maakt nieuwe naam bekend | RTL Nieuws from www.rtlnieuws.nl Hij moet zich erbuiten houden hamilton enorm teleurgesteld ''er zijn nog vier races te gaan. 03.11.2021 · aankomende donderdag melden de coureurs zich weer voor de gebruikelijke persconferentie voorafgaand aan de grand prix van mexico. 17.09.2021 · live streaming persconferentie eerste minister overlegcomité fod volksgezondheid, nationaal crisiscentrum & sci...
Making Christmas Cards With Toddlers - Easy Watercolor Christmas Cards For Kids To Make Projects With Kids / Have them make their very own christmas cards with this handprint card craft. . Glue these beauties to cardstock and they'll be ready for the post box in no time at all. Your child gets to do a fun activity, you get to save some money with homemade cards, and your family members/friends get a creative, cute card, showcasing your child's work. They're super easy to make. If you make a purchase after clicking one of these. I love adding homemade touches to our celebration and i think sending a special card to someone they love is a fun way to involve children in the spirit of the holiday. Then, string the shapes together to create a seasonal garland. One of our favorite christmas crafts for kids is making homemade christmas cards!this cute christmas tree card can be adapted for a wide variety of ages and is super easy! The series contains 30 great ...
How To Make A Card Game App / Pokemon Card Maker App | Pokemon cards, Fake pokemon cards ... : Play your favorite card games! . Invite and play with friends and family. Open up canva and log in or sign up for a new account using your email, google or facebook profile. Decide what game engines and technology you need to develop your game. To submit your game app. This can be easily managed when you implement multiple game modes. Balance is crucial when you make a game app. This page demonstrates its use as a part of the solitaire script. H ow to test and improve your game: It costs $99 per year for the app store and $25 for life with the play store. Play your favorite card games! How to Make a Game App - Create Your own Game for Android from www.techaheadcorp.com Use the outline as a template as you design your cards. Easy enough for amateurs to jump i...
Komentar
Posting Komentar